금천구검진에서 위내시경과 위조영술의 차이점을 알아보세요.

금천구검진에서 위내시경과 위조영술의 차이점을 알아보세요.

안녕하세요. 내과 전문의 4명이 운영하는 밝은내과의원입니다. 위장 건강이 좋지 않아 검진을 받아야 한다면, 위내시경과 위조영술 중 어떤 검사를 해야 할지 고민이 되실텐데요. 둘 다 위의 상태를 확인하는 목적으로 시행되지만, 검사 방법이나 상태를 파악하는 정도에 약간의 차이가 있습니다. 그렇다면 오늘은 금천구검진과 밝은내일내과의원과 함께 위내시경과 위조영술에 대해 자세히 알아보고 차이점이 무엇인지 알아보겠습니다. 이에 대해 자세히 알아보는 시간을 가져보도록 하겠습니다.

위내시경이란 무엇입니까?

위내시경이란 작은 카메라 장치를 입안에 삽입해 식도, 위, 십이지장의 상태를 관찰해 염증이나 종양 등을 진단하는 방법이다. 단순히 검사 목적으로만 사용되는 것이 아니라, 필요에 따라 치료 목적으로 활용될 수 있습니다. .기기 삽입에 불편함을 느끼실 수 있으나, 수면검사도 가능하므로 보다 편안한 상태에서 검사를 받으실 수 있습니다. 위내시경의 장점 – 정확한 진단이 가능하다. 즉각적인 조직검사가 가능하며, 필요시 치료도 가능합니다.

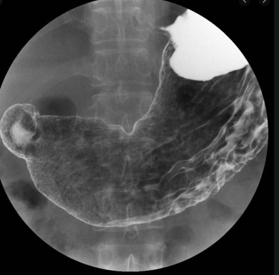
위조영술이란 무엇입니까?

위혈관조영술은 위·십이지장의 상태와 질병의 유무를 확인하는 검사법으로, 잠을 자지 않고 검사한다는 장점이 있으나, 간접적인 방법이기 때문에 정확도가 다소 떨어질 수 있다. 위조영술의 장점 – 위내시경에 비해 불편함과 불편함이 적습니다. – 잠을 자지 않고 시행하기 때문에 노인, 허약자, 어린이에게도 시행할 수 있습니다.

위내시경과 위조영술의 차이점 위내시경은 작은 카메라 장치를 입안에 삽입해 식도, 위, 십이지장 부위를 관찰하고, 필요할 경우 조직을 제거해 이상 유무를 확인하는 검사법이다. 위벽에 조영제 용액을 코팅한 후 이를 이용하여 위와 십이지장의 이상 유무를 확인하는 검사로 정확도에서는 위내시경이 우수하다고 할 수 있습니다. 이전 이미지다음 이미지 원장 전원이 내과 전문의이며, 위장내시경 전문의 인증을 받은 밝은내일내과에서 원장이 직접 내시경, 초음파 검사를 시행하여 진료 우수병원으로 인증됨) 내시경 전문의가 편안하고 정확도 높은 위/대장내시경 풍부한 경험으로 / 폴립 제거 수술을 시행합니다. 밝은내과의원은 초음파치료 우수병원과 고혈압, 당뇨병 치료 우수내과의원으로 인정받고 있습니다. 밝은내과의원 홈페이지 (밝은내과의원 – 인사말) 밝은내일내과의원에서 체계적인 맞춤형 진료를 받아보세요. 금천구 시흥내과의원 내시경초음파대장내시경 굿 naeilclinic.modoo.at 밝은내일내과의원 밝은내과의원 오시는길 서울시 금천구 시흥대로 230 서평빌딩 3층(다이소빌딩) 이 포스팅 밝은내일내과의원에서 의료광고법 제56조 제1항에 의거 작성하였습니다.